RAYX DIAGNOSTICS
Our team of highly trained maxillofacial radiologists take the time to thoroughly review your images, slice by slice, to provide you with accurate and comprehensive reports that answer your clinical questions
Precision
Timely Reports
Expert Interpretation

Our goal is to empower you to focus on providing exceptional patient care, while we handle the radiology aspect of your practice

Our experienced radiologists thoroughly review your images slice by slice to to cover the entire FOV to provide comprehensive reads and over-reads

Each report is comprehensive, addressing your clinical questions and providing important clinical findings, illustrated with images

We utilize the latest technology to deliver accurate and efficient radiology readings
Our reading service is designed to evaluate your region of interest, rule out any potential pathology, highlight significant incidental findings, adding value to your overall patient care

Identification and anatomic location of impacted teeth and their relationship with vital anatomic structures

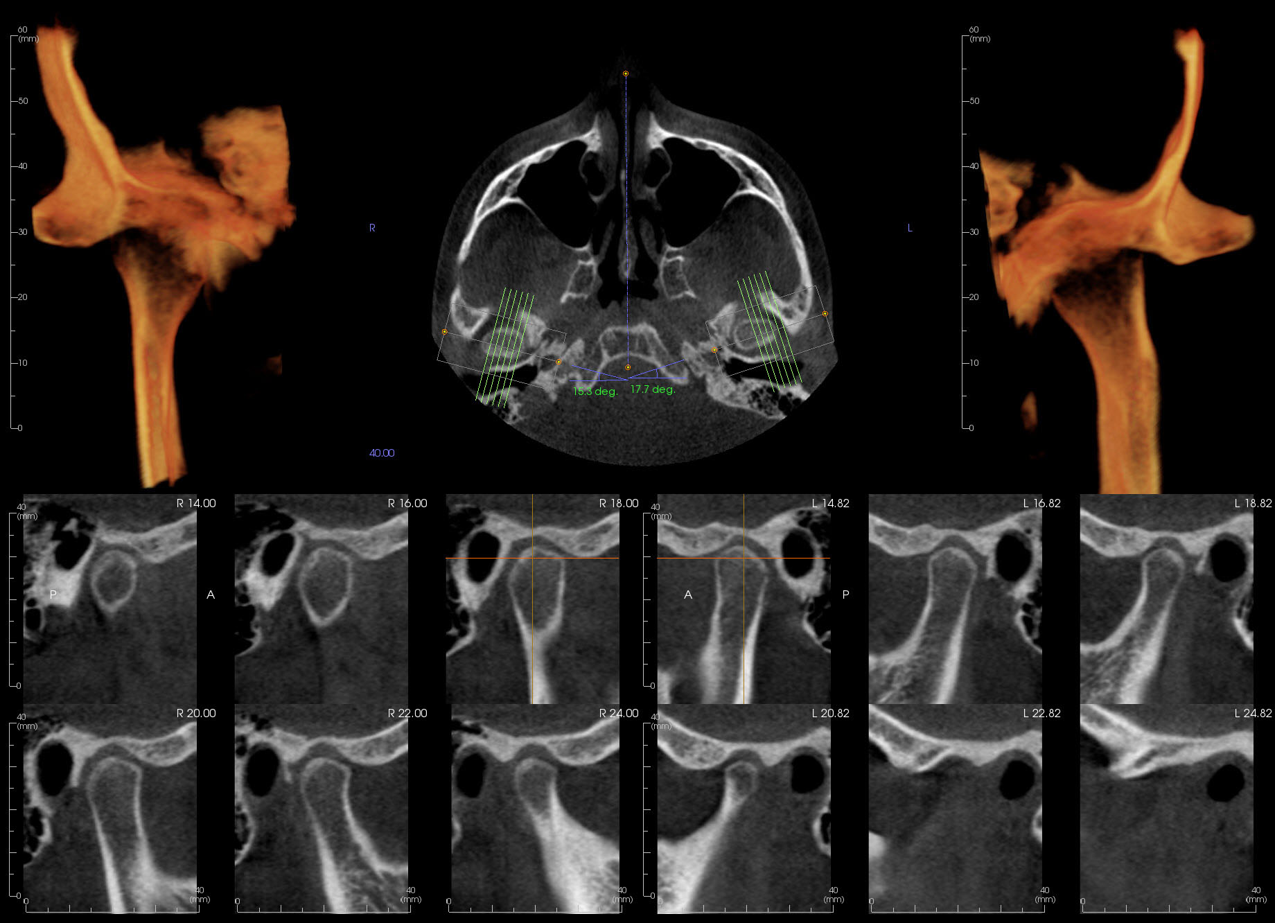
Evaluation of TMJs for Temporomandibular disorders, asymmetry and potential pathology

Evaluation and interpretation of oral and maxillofacial pathology

Implant site analysis for available bone height and width, bone quality and tracing of the IAC if posterior mandibular sites are indicated

Evaluation for root fractures, pulp and periapical pathology, root resorption, abnormal anatomy

Evaluation of paranasal sinuses prior to sinus bone augmentation, pathology of possible dental etiology
Create New Case: UR of screen
Fill out patient details
Clinical questions or Objectives
Select required service
Upload your zipped *.DCM folder
Must zip DICOM files before uploading
Case assigned to an OMR
Analysis and report writing.
Report ready notification
View and download report
Access your reports 24/7
Turnaround time = 3 business days
Rush or Priority = 1 business day
detailed radiology reports containing all significant findings in the field of view
volume discounts available* based on number of monthly cases submitted
* to benefit from volume discounts please request monthly billing for your practice
Turnaround time = 3 business days
Rush or Priority = 1 business day (+$30)
CBCT imaging interpretation reports include comprehensive analysis of all structures within the field of view. Your clinical questions if submitted will be addressed. A thorough review of the entire scan volume will be done to rule out pathology and report any significant incidental findings. If requested, Implant survey of up to 4 implant sites is included at no additional fee. Proximity to vital anatomic structures and tracing of the Inferior alveolar canal will be done if indicated. An additional fee of $60 will apply if measurements of more than 4 implant sites is requested.
Practices on monthly billing automatically get the volume discount depending on the number of cases submitted per month. Practices on case by case billing can benefit from the volume discount by contacting us to request monthly billing. Both case by case and monthly billing requires a valid payment method in your practice profile.
Export your CBCT study to folder, zip or compress the folder. Sign up for an account or login the RayX portal. Click on "New Case" on the upper right. Follow the steps on the screen to fill up patient and study information, select services and upload the study files. When the report is complete you will get a notification via email and you can also access all your reports on the portal 24/7.
We need your images files in DICOM file format within a zipped folder to evaluate your scans. Your imaging software allows you to export the DICOM files *.dcm. Refer to your software manual for exporting *.dcm files to a folder. Right click on the folder you exported your *.dcm files. Click "Send to" on the submenu that pops up when you right click. Select "Compress" or '"Compress to zip file". Your files will be compressed and will look like a folder with a zipper. Rename this folder with the patient's name. This zipped or compressed folder can now be submitted to RayX platform for analysis.
Yes, our platform allows you to upload multiple files including intraoral pictures or 2D radiographs. If an additional prior CBCT scan is uploaded for comparison study, an additional comparison study fee will be applied unless the previous scan was evaluated by RayX Diagnostics.
The practice owner/administrator provides a form of payment (debit or credit card,) after signing up. Billing is done after the case is completed. If signed up for monthly billing, billing will done on the 1st of the month.
You can access all your billing details and invoices on the portal.
.

Sialolith within Wharton's duct

implant out of lingual cortex

Oro-antral communication

Fibrous dysplasia: Maxillary sinus

Carotid artery calcification
RayX Diagnostics is a comprehensive radiology reading service, located in the U.S that serves dental practices and imaging centers. We provide reading service for various dental imaging modalities, including CBCT, TMJ MRI, Panoramic and intraoral imaging.
Your images will be reviewed by our U.S trained, experienced and board-certified oral and maxillofacial radiologists, with extensive knowledge and expertise in dental imaging.
The regular turnaround time is 3 business days. Rush or Priority service is available with a turnaround time of 1 business day
RayX offers a variety of services for 3D imaging modalities, including general evaluation or rule-out pathology, implant sites evaluation, impacted teeth evaluation, endodontic evaluation, sinus evaluation, TMJ/TMD evaluation, pathology evaluation, orthodontics, and airway evaluation. 2Dimaging/radiograph reading service is also available.
CBCT cases evaluations irrespective of FOV are $105 per case and includes general review of pathology and anatomical structures within the whole field of view(FOV) and focus on answering your clinical questions. If requested, reports also includes measurements of bone height and width for up to 4 potential implant sites and tracing of the IAC. An additional fee of $60 will be added if measurement of more than 4 implant sites is required.
The fee for additional CBCT scan for comparison is $50.
2D imaging interpretation reports are $70.
Additional information for service fees can be found in the Fee Structure section of the website.
You can upload DICOM images through the HIPAA compliant portal by logging into your account. Simply click New Case (Top Right) provide patient information, study objective and/or clinical questions, export DICOM files, zip/compress them in a folder and upload
Yes. If needed, you can communicate with the radiologist through the platform.
You will be notified when the report is ready. You can download it or access it 24/7 through RayX Diagnostics web portal.
No, only healthcare providers and imaging centers can use the service at this time.
No, we do not file or assist in filing insurance claims. However, your practice can bill dental or medical insurance for radiology services using the appropriate procedure codes below:
Radiology Report
CDT/Dental: D0391 (Interpretation of diagnostic image by a practitioner not associated with capture of the image, including report.)
CPT/Medical: 76140 (Consultation on x-ray examination made elsewhere, written report.)
Image Portfolio
ADA/Dental D0363 (Three-dimensional image reconstruction using existing data, includes multiple images).
The practice owner or administrator will provides a payment form (debit/credit card, bank account) after sign-up. Billing is done after the case is completed.
No, the practice or imaging center is responsible for payment
Yes, the practice administrator can add associate doctors to the portal who can then access the platform and send cases. The practice will be billed for all services requested by associate doctors.
RayX Diagnostics platform offers flexibility to accommodate referrals to your imaging center or office by providing access to only patients that belong to the referring doctor.
With years of experience & passion for their field our radiologists are dedicated to providing accurate and efficient readings that support your clinical decision-making

Our board-certified oral and maxillofacial radiologists are leaders in the field, with years of experience interpreting dental imaging and providing valuable insights to referring dentists and specialists